Explore ideas, tips guide and info Samuel Mordaunt
érosion Dentaire Avant Après
érosion Dentaire Avant Après
érosion Dentaire Avant Après. EXPLICATIONS POUR L'ÉROSION DENTAIRE Comprendre les causes de cette dégradation, reconnaître les signes avant-coureurs et. Érosion dentaire : Identifiez les causes pour réduire les risques
Blanchiment dentaire résultats avant/après Paris Dr Temestet from www.dr-temstet-dentiste.paris
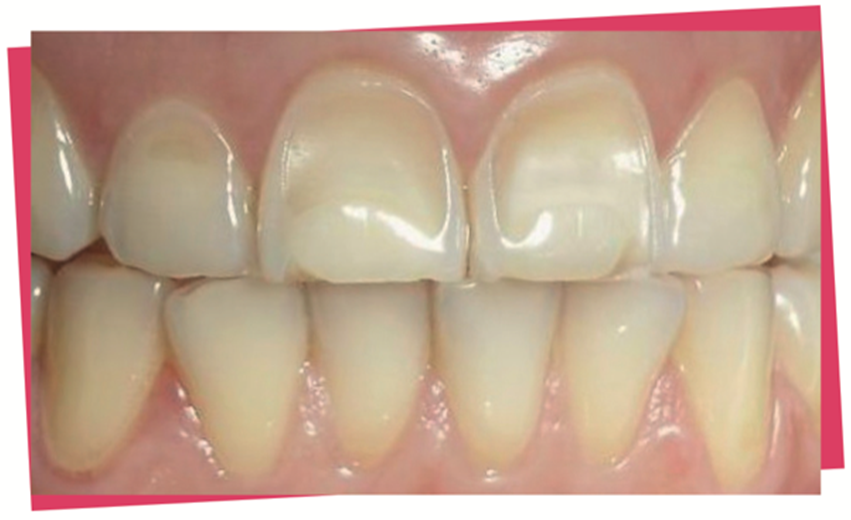
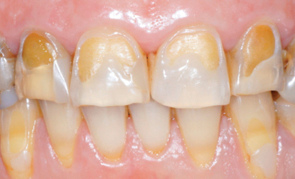
L'érosion dentaire est un processus multifactoriel menant à la perte de l'émail et de la dentine, faisant intervenir une dissolution acide qui n'est pas liée à la présence de bactéries et qui peut toucher toutes les tranches d'âge. Peu connue du grand public, l'érosion dentaire est un phénomène marqué par la perte de l'émail des dents causée par des attaques chimiques liées à la composition de certains aliments ou à des maladies
Blanchiment dentaire résultats avant/après Paris Dr Temestet
Peu connue du grand public, l'érosion dentaire est un phénomène marqué par la perte de l'émail des dents causée par des attaques chimiques liées à la composition de certains aliments ou à des maladies L'érosion dentaire peut être combattue efficacement en changeant vos habitudes et en surveillant votre alimentation jour après jour De cette manière, vos dents ont le temps de se reminéraliser.
Blanchiment dentaire résultats avant/après Paris Dr Temestet. 😢 Elle concerne l'érosion progressive de l'émail dentaire, entraînant des modifications non seulement esthétiques, mais aussi fonctionnelles des dents. L'érosion dentaire, une forme insidieuse de dégradation de la santé bucco-dentaire, est une problématique qui affecte une large part des personnes
Traitement de l'émail dentaire du Dr Sophie Miannay. Après la consommation d'un aliment ou d'une boisson acide, après un vomissement ou avoir ressenti un reflux d'acide dans la bouche nous vous conseillons de vous rincer la bouche avec de l'eau et d'attendre 30 à 45 minutes avant de vous brosser les. Homme ou femme, tout le monde semble logé à la même enseigne, certaines études avancent même le chiffre d'une personne sur trois touchée par ce phénomène en France.